Естетична реабілітація. Ідеальна посмішка
Пацієнтка звернулася в клініку «Кловадент» з естетичними скаргами: різний контур ясен, форма та колір фронтальних зубів.
Консультація, діагностика, далі консиліум лікарів: терапевта, пародонтолога, ортопеда, ортодонта, гнатолога, хірурга, було запропоновано рішення даної скарги. На основі діагностики, технік підготував цифровий проект попередньої форми зубів. Проект був узгоджений з пацієнтом, розподілений на два етапи хірургічний та ортопедичний.
Хірургічний етап.
Скаргу висоти ясен вирішено естетично-хірургічним шляхом (гінгівопластика) з виготовленням індивідуального хірургічного шаблону. Для визначення чіткого рівня слизової та кістки.
В процесі хірургічного втручання ми досягли необхідної висоти ясен та кістки.
З перервою в 6 тижнів розпочали наступний ортопедичний етап.
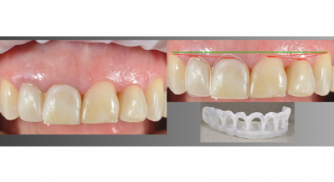
Ортопедичний етап.
- Обробка зубів під мікроскопом (препарування);
- Сканування зубів для передачі інформації в лабораторію;
- Узгодження форми та кольору майбутніх конструкцій з пацієнтом;
- Виготовлення тимчасових лабораторних конструкцій;
- Фіксація тимчасових (внесення корекцій форми по бажанню пацієнта);
- З урахуванням побажань пацієнта, виготовляємо постійні конструкції та фіксуємо.
Комплексний підхід дає можливість досягти прогнозованого результату, усунути причину, а не наслідок та вилікувати пацієнта.


