Эстетическая реабилитация. Идеальная улыбка
Пациентка обратилась в клинику “Кловадент” с эстетическими жалобами: разный контур десен, форма и цвет фронтальных зубов.
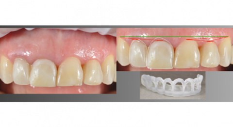
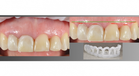
Консультация, диагностика, далее консилиум врачей: терапевта, пародонтолога, ортопеда, ортодонта, гнатолога, хирурга, было предложено решение данной жалобы. На основе диагностики, техник подготовил цифровой проект предварительной формы зубов. Проект был согласован с пациентом, распределен на два этапа хирургический и ортопедический.
Хирургический этап.
Жалобу высоты десны решено эстетически-хирургическим путем (гингивопластика) с изготовлением индивидуального хирургического шаблона. Для определения четкого уровня слизистой и кости.
В процессе хирургического вмешательства мы достигли необходимой высоты десны и кости.
С перерывом в 6 недель начали следующий ортопедический этап.
Ортопедический этап.
- Обработка зубов под микроскопом (препарирование);
- Сканирование зубов для передачи информации в лабораторию;
- Согласование формы и цвета будущих конструкций с пациентом;
- Изготовление временных лабораторных конструкций;
- Фиксация временных (внесение коррекций формы по желанию пациента);
- С учетом пожеланий пациента, изготавливаем постоянные конструкции и фиксируем.
Комплексный подход дает возможность достичь прогнозируемого результата, устранить причину, а не следствие и вылечить пациента.


