Унікальність діагностики в Klovadent
Спеціалісти Klovadent використовують на практиці закордонний досвід, найсучасніше обладнання та новітні методики. У клініці розроблено 4 рівні діагностичного обстеження, які роблять лікування прогнозованим, а результат – передбачуваним. Крім того, для всіх пацієнтів створюється профіль, в якому зберігається інформація щодо стоматологічної проблеми на кожному рівні.
ПЕРШИЙ РІВЕНЬ. ПЕРВИННА ДІАГНОСТИКА.
Сюди входить:
- Фотодіагностика. Робиться серія знімків: обличчя в анфас/полупрофіль/профіль; фронтальні/бокові/оклюзійні поверхні зубів. Вони дозволяють оцінити симетрію та пропорційність обличчя, лінію посмішки.
- Заповнення опитувальника та пальпація суставів і м’язів. З їх допомогою визначається розвиток проблем та стан м’язів, вибудовується взаємозв’язок з існуючими проблемами. М’язи вказує на стан жувального органу та дозволяють виявити зв’язок зі структурними відхиленнями.
- Оклюзіограма. Принцип цієї методики в тому, що пацієнт, тримаючи між верхньою та нижньою щелепою віск, водить нижніми зубами по верхніх. Так визначається якість контактів між щелепами, досліджуються контакти зубів у динаміці.
- Гіпсові моделі щелеп. У складних клінічних випадках чи, коли планується реставрація, ми виготовляємо розбірні Split-Cast моделі.
ДРУГИЙ РІВЕНЬ. МАЛИЙ КЛІНІЧНИЙ АНАЛІЗ
На цьому етапі отримуємо гіпсові моделі зубів, які загіпсовуються в артикуляторі. Моделі зубів вирівнюються по франкфуртській горизонталі і переносяться в артикулятор за допомогою лицьової дуги.
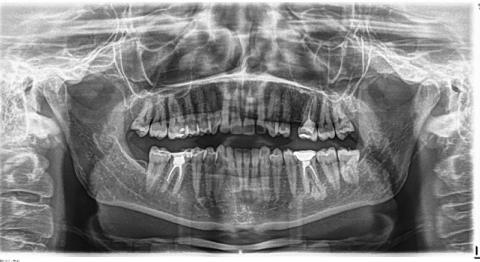
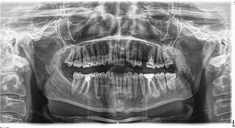
Також робиться знімок голови у боковій проекції (телерентгенограма). По рентгенівському знімку вираховуються математичні значення: кути, відстані між анатомічними утвореннями. По отриманим показникам вираховується норма і відхилення.
ТРЕТІЙ РІВЕНЬ. ВЕЛИКИЙ КЛІНІЧНИЙ АНАЛІЗ
На цьому етапі вивчаються рухи нижньої щелепи та положення суглобу відносно осі обертання суставу. Отримана аксіо-орбітальна площина дозволяє відтворити індивідуальні рухи пацієнта та запланувати ефективну реставрацію або ж переміщення зубів.

ЧЕТВЕРТИЙ РІВЕНЬ. КОНСИЛІУМ
Будь-яке лікування в нашій клініці починається з діагностики. Лікарі Кловадент дотримуються протоколу діагностики Віденської школи міждисциплінарної стоматології:
- збирається необхідна інформація;
- зібрані дані обговорюються всередині команди лікарів (пацієнту не треба ходити по усіх спеціалістах);
- пацієнту озвучується хід лікування, строки, послідовність дій та вартість.
У разі надскладної стоматологічної ситуації діагностичний центр Klovadent організовує поїздку на консультацію закордон, де наукова спілка стоматологів на чолі з професорами Рудольфом Савічеком та Аланом Ландри проведуть детальну діагностику та дадуть чітке заключення. Також можлива консультація з професором Садао Сато, профіль якого ортодонтія та техніка мультипетлевої дуги.

